¡Obtenga más información sobre nuestra práctica!
Conozca al Dr. Atul Patel
Conozca a la Dra. Sheryl Lansangan
Conozca al Dr. Dave Rustamzadeh
Conozca a nuestros expertos dentales
Recorra nuestras instalaciones de primera clase.
¡Mantente al día con nuestro equipo!
Complete your forms online and save time.
We accept most major insurance plans.
No insurance? Enjoy big savings with our plan.
Check out our latest dental deals.
Flexible payment methods available.
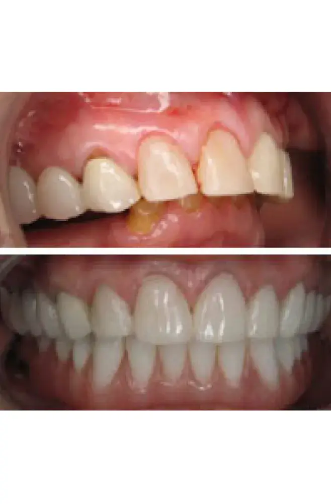
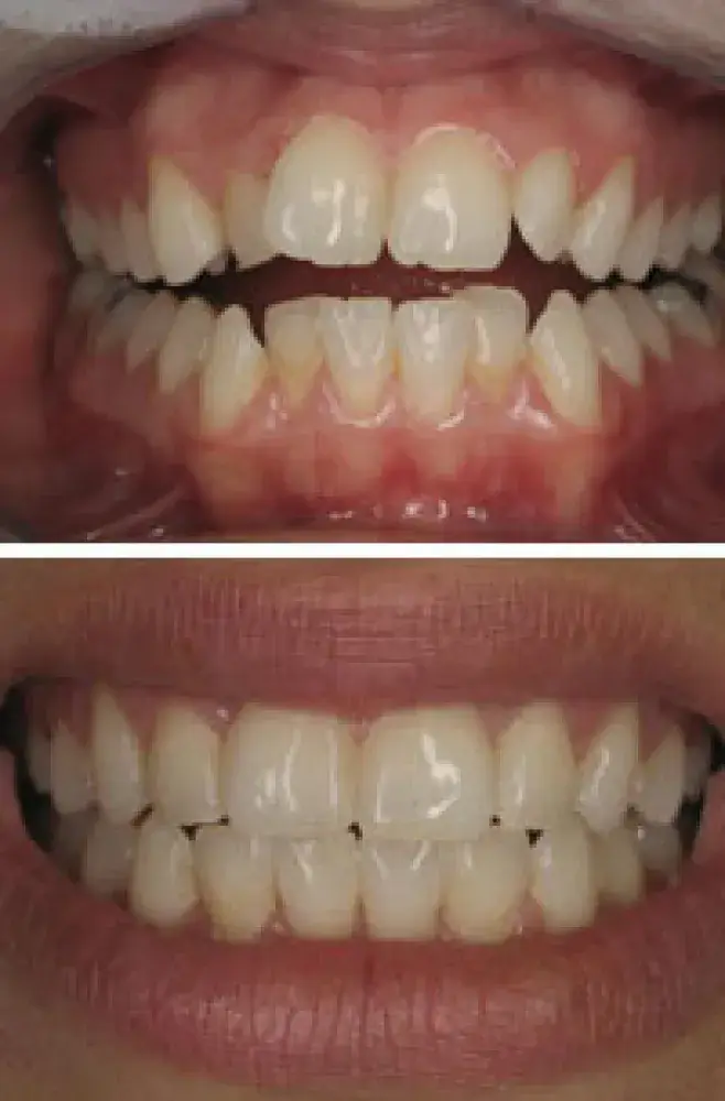
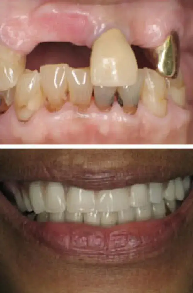
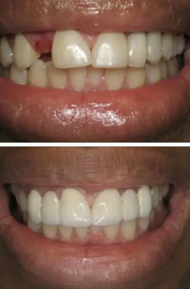
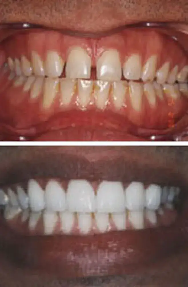
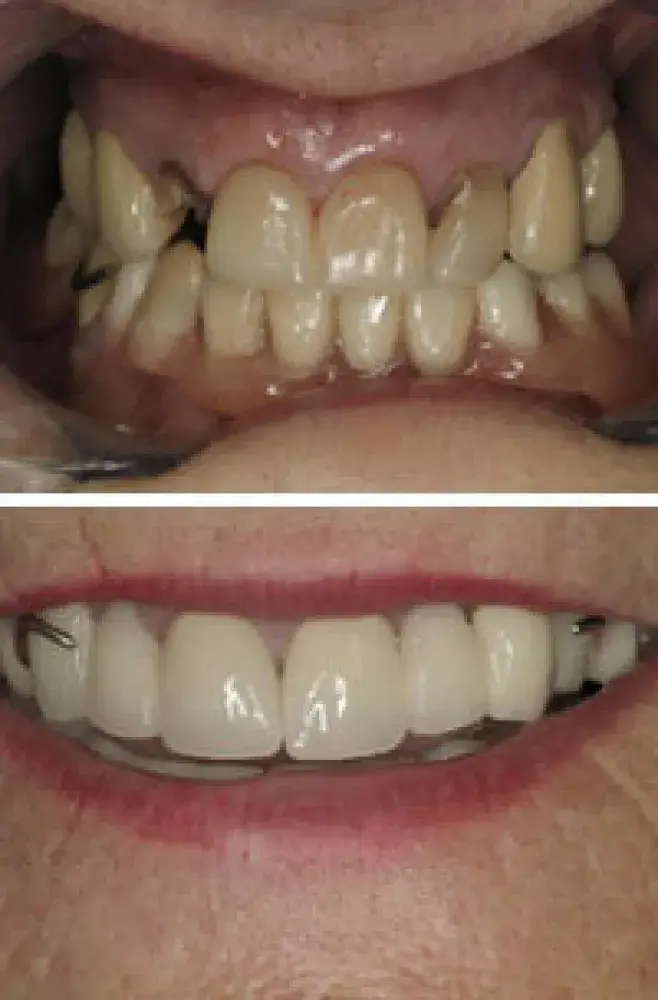
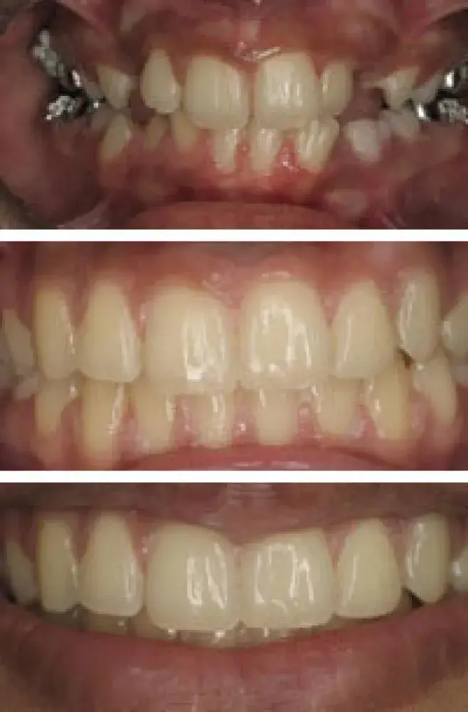
Resultados reales, sonrisas reales: ¡explore las transformaciones!